Aller au contenu

Covid 19 et "immunité entraînée"...

Noter ce sujet


Pratika

Messages recommandés

Membre, 75ans Posté(e)
Pratika Membre 1 626 messages
Forumeur vétéran‚ 75ans‚
Posté(e)

L'article en lien parle d'une découverte inattendue mais qui pourrait se révéler prometteuse...

https://theconversation.com/cancers-le-covid-19-ouvre-des-pistes-dans-la-lutte-contre-les-tumeurs-244598

Bonne lecture attentive de l'article !

  • Like 1
Lien à poster
Partager sur d’autres sites

Annonces
Maintenant
Membre, 69ans Posté(e)
pic et repic Membre 19 217 messages
Maitre des forums‚ 69ans‚
Posté(e)
il y a 43 minutes, Pratika a dit :

Bonne lecture attentive de l'article !

bonjour,

merci pour cet article , ho comment passionnant !

surtout sur ce que cela peut entrainer si l'on parvient à maitriser cette réponse surprenante au Covid-19 ( les monocytes gardant leur fonction dans la protection, l'élimination des "corps" étrangers et la régulation du système immunitaire ) !

remarquez que cela est déjà "un peu" dans l'air du temps : on attrape rarement 2 maladies ( virale, bactérienne ) en même temps ( elles semblent s’exclure mutuellement ) .

et même les cancers semblent suivre ce chemin ... ( il peut y avoir plusieurs localisations mais ce sont généralement des métastases d'un cancer primitif ) .

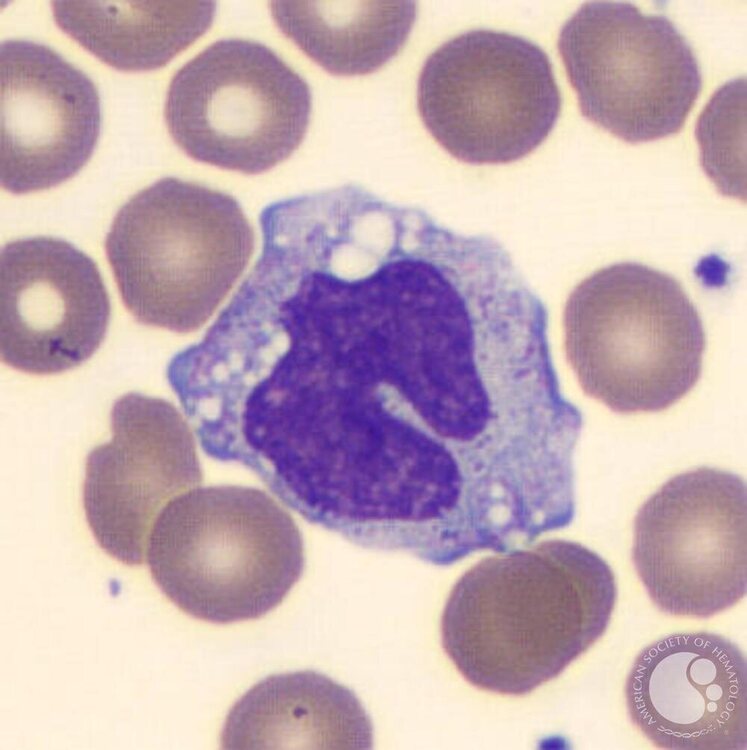
3598.jpg.b6fc063308308d98b7a28d5b2b583d9f.jpg  60935.thumb.jpg.64a2b84e81ffed857d99073795f269b1.jpg

le monocyte dans toute sa splendeur ( cytoplasme "ciel d'orage", et quelques vacuoles dans le second ! ) .

 les "petites" choses rouges sont les globules rouges et les petites choses bleues , les plaquettes .

frottis sanguin coloré au MGG .

bonne journée.

 

 

Lien à poster
Partager sur d’autres sites

Membre, Voyageur, 71ans Posté(e)
Plouj Membre 119 246 messages
71ans‚ Voyageur,
Posté(e)

Effectivement intéressant !

Mais à long terme, de quoi devra-t-on se méfier ?

D'éventuelles guerres atomiques ou de changements d'ADN ou ARN ?

Pas aisé se s'y retrouver dans tous

"Alors que nous continuons à faire face aux conséquences de la pandémie de Covid-19, notamment en matière de Covid long, et que les infections par le SARS-CoV-2 se poursuivent, ces résultats rappellent l’immense importance de la recherche fondamentale, qui fait progresser notre compréhension de la biologie humaine et des maladies, ouvrant la voie vers des avancées médicales parfois inattendues"

 

Mais restons optimistes et espérons que nos descendants pourront profiter sainement de ces avancées

  • Like 1
Lien à poster
Partager sur d’autres sites

Membre, Posté(e)
Pierrot89 Membre 9 913 messages
Maitre des forums‚
Posté(e)
Le 29/11/2024 à 08:43, Pratika a dit :

L'article en lien parle d'une découverte inattendue mais qui pourrait se révéler prometteuse...

https://theconversation.com/cancers-le-covid-19-ouvre-des-pistes-dans-la-lutte-contre-les-tumeurs-244598

Bonne lecture attentive de l'article !

Je ne vais pas analyser cette intéressante vidéo.

Mais l'arrivée de la pandémie du covid a mobilisé les chercheurs et permet d'entrevoir beaucoup de grands projets pour de nombreuses pathologies avec des vaccins à base de la technique ARN messager, de l'immunothérapie (car les cancers sont une anomalie qui devraient être combattus par les globules blancs mais les cellules s'en protègent avec une sorte de bouclier chimique qu'il faut percer !).

 

Une révolution comme l'arrivée jadis des antibiotiques.

 

 

Lien à poster
Partager sur d’autres sites

Rejoindre la conversation

Vous pouvez publier maintenant et vous inscrire plus tard. Si vous avez un compte, connectez-vous maintenant pour publier avec votre compte.

Invité
Répondre à ce sujet…

×   Collé en tant que texte enrichi.   Coller en tant que texte brut à la place

  Seulement 75 émoticônes maximum sont autorisées.

×   Votre lien a été automatiquement intégré.   Afficher plutôt comme un lien

×   Votre contenu précédent a été rétabli.   Vider l’éditeur

×   Vous ne pouvez pas directement coller des images. Envoyez-les depuis votre ordinateur ou insérez-les depuis une URL.

Chargement
×